Monday, May 18, 2015

Recurrent Glioma

Images of Recurrent Glioma

Irinotecan Treatment For Recurrent Malignant Glioma Using An ...
Irinotecan Treatment for Recurrent Malignant Glioma Using an Every-3-Week Regimen Timothy F. Cloughesy, M.D., Emese Filka, M.D., Gillian Nelson, M.D., ... Fetch Full Source

Recurrent Glioma Photos

DISTINCTION BETWEEN RECURRENT GLIOMA AND RADIATION ... - U-System
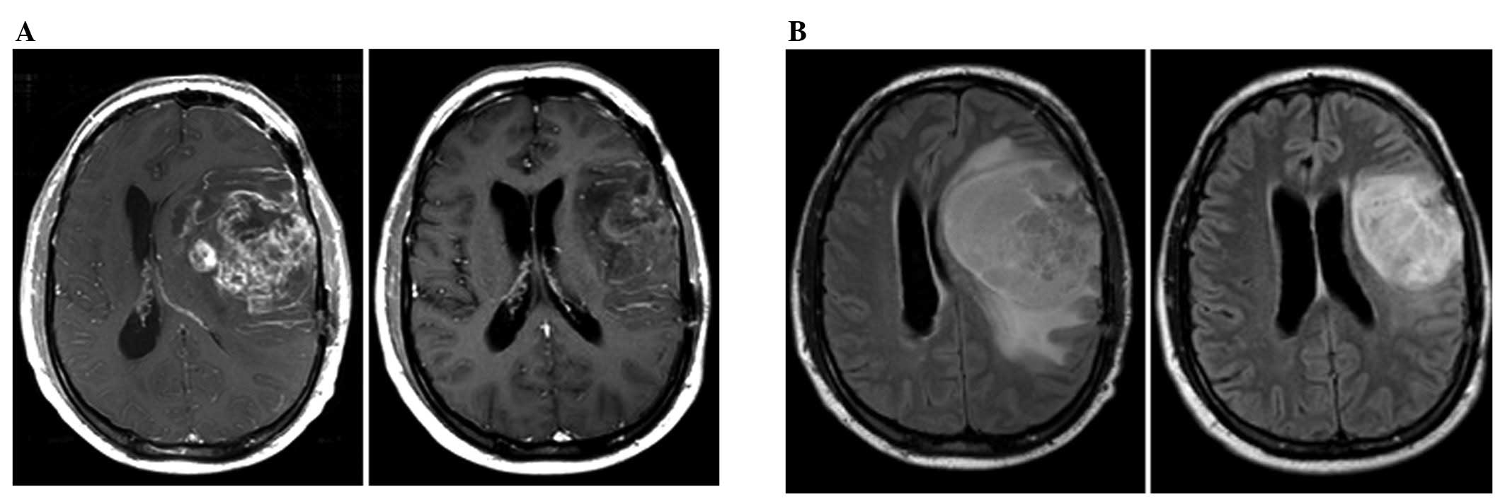
DISTINCTION BETWEEN RECURRENT GLIOMA AND RADIATION INJURY USING MAGNETIC RESONANCE SPECTROSCOPY IN COMBINATION WITH DIFFUSION-WEIGHTED IMAGING QING-SHI ZENG,PH.D.,* CHUAN-FU LI, MR spectroscopy for recurrent glioma vs. radiation injury ... Access Doc

Recurrent Glioma Photos

10 Questions About The Use Of Bevacizumab In The Management ...
10 QUESTIONS 10 Questions About the Use of Bevacizumab in the Management of Recurrent Malignant Gliomas Marc C. Chamberlain, MD Key Words: glioma, glioblastoma, bevacizumab, ... Document Retrieval

Brain Cancer: How Primary And Metastatic Tumors Differ
There is much confusion over brain cancer vs. tumors. This article explores the difference between primary and metastatic or secondary brain tumors. ... Read Article

Pictures of Recurrent Glioma

Phase I Clinical Trial Of Intratumoral Reovirus (REOLYSIN ...
Phase I study of REOLYSIN Infusion in Recurrent Malignant Glioma • UAB, OSU and Cedars-Sinai •An important subset of patients with recurrent malignant glioma appear to exhibit responses to treatment, both radiographically and in ... Fetch Document

O-(2-Fluorethyl)-L-thyrosine - Wikipedia, The Free Encyclopedia
Clinical data; Routes of administration: intravenous: Identifiers; PubChem: CID : UNII O-(2-Fluorethyl)-L-thyrosine or 18 F-FET is an neuro-oncologic PET tracer. [2] ... Read Article

Images of Recurrent Glioma

Mutational Analysis Reveals The Origin And Therapy-Driven ...
Progenitors express bnl>GFP. As progenitors continue along the DT, DT larval cells activate bnl>GFP expression one segment at a time from anterior to posterior, matching progenitor ... View Full Source

A Revolutionary New Potential Treatment For Glioblastoma ...
Professor Brown and his colleagues have discovered and reported a fundamentally new approach to the treatment of solid tumors, Dr. Tony Talebi discusses the treatment of Glioma Brain Cancer - Duration: 19:35. Tony New Treatment for Recurrent Glioblastomas - Mayo Clinic ... View Video

Recurrent Glioma Images

Glioma recurrence Versus Radiation Necrosis: Accuracy Of ...
Glioma recurrence versus radiation necrosis: accuracy of current imaging modalities between post-irradiation necrosis and recurrent glioma on the basis of clinical signs and symptomatology has not been possible. Computed tomography (CT) and magnetic ... Doc Viewer

Radiation And Chemotherapy For Malignant Glioma
Radiation and Chemotherapy for Malignant Glioma. By Peter Pressman, M.D. Neurology Expert Share Pin Tweet Submit Stumble Post Share Sign Up for Our Free Newsletters Thanks, You're in! Living Healthy Health Tip of the Day Neurology. ... Read Article

Recurrent Glioma

Aziridinylbenzoquinone In Recurrent, Progressive Glioma
Aziridinylbenzoquinone in Recurrent, Progressive Glioma of the Central Nervous System A Phase lI Study by the Illinois Cancer Council MAX HAID, MD,' JANARDAN D. KHANDEKAR, MD,' MIRIAM CHRIST, MD,' CAROLE M. JOHNS0N.t ... View This Document

Recurrent Glioma Photos

Temozolomide For Recurrent High-Grade Glioma
Temozolomide for Recurrent High-Grade Glioma David R. Macdonald Despite aggressive treatment, the high-grade malignant glioma (specifically, anaplastic astrocytoma and glioblas- ... Fetch Full Source

Recurrent Glioma Pictures

Guidance On The Use Of Temozolomide For The Treatment Of ...
1 Guidance 1.1 Patients with recurrent malignant glioma (brain cancer) who have failed first-line chemotherapy treatment with other agents (either because of lack of ... Fetch Document

Photos of Recurrent Glioma

Therapeutic Options For recurrent Malignant glioma
Review Therapeutic options for recurrent malignant glioma Maximilian Niyazia, Axel Sieferta, Silke Birgit Schwarza, Ute Ganswindta, Friedrich-Wilhelm Krethb, ... Doc Retrieval

Recurrent Glioma

Recurrent High-Grade Glioma - Springer
Current Treatment Options in Neurology (2010) 12:321–333 DOI 10.1007/s11940-010-0078-5 Neuro-oncology (Neoplasms) Recurrent High-Grade Glioma Eudocia C. Quant, MD ... Retrieve Full Source

Images of Recurrent Glioma

Recurrent Glioma And Crossed Cerebellar Diaschisis In A ...
Recurrent Glioma and Crossed Cerebellar Diaschisis in a Patient Examined With 18F-DOPA and 18F-FDG PET/CT Ferdinando Calabria, MD,* and Orazio Schillaci, MD*Þ ... Access Doc

Recurrent Glioma

Bevacizumab - American Brain Tumor Association
Bevacizumab (Avastin) If you have been diagnosed with a recurrent malignant glioma, your doctor may suggest treatment with a drug called bevacizumab, also known as Avastin. ... Document Retrieval

Recurrent Glioma Photos

External Beam Radiotherapy Of Recurrent Glioma: Radiation ...
External Beam Radiotherapy of Recurrent Glioma: Radiation Tolerance of the Human Brain Author: Peter Sminia Subject: Malignant gliomas relapse in close proximity to the resection site, which is the postoperatively irradiated volume. ... Return Doc

Photos of Recurrent Glioma

A Study Of 121I-TM601 In Adults With Recurrent Malignant Glioma
Page 1 A Study of 131I-TM601 in Adults With Recurrent Malignant Glioma This study is currently recruiting participants. Verified by TransMolecular, September 2008 ... Doc Retrieval

Recurrent Glioma Photos

Carboplatin Chemotherapy In Patients With Recurrent High ...
Original Article Carboplatin Chemotherapy in Patients with Recurrent High-grade Glioma L.J. Murray, C.H. Bridgewater, D. Levy Department of Clinical Oncology, Weston Park Hospital, Sheffield, UK ... Retrieve Content

Recurrent Glioma Images

External Beam Re-irradiation, Combination Chemoradiotherapy ...
Recurrent glioma, 54 of which had Grade IV disease. All were treated with FSRT to a median dose of 36 Gy (range 15 to 62 Gy) with a median fractionation of 5x2 Gy/week. A 0.5–1 cm margin was added to the T1-weighted contrast-enhancing region on MRI for ... Read Here

Antineoplaston - Wikipedia, La Enciclopedia Libre
Se conoce como antineoplaston a unos péptidos con supuesta actividad antineoplásica (anticancerosa). ... Read Article

No comments:

Post a Comment